日本电话:0081-090-6725-6016

中文客服微信: cn11802101

  • English
  • 中文

日本案例F—站起来的时候很痛,有时夜晚会痛。

71岁日本女性
右膝烦恼及诊断
站起来的时候很痛,有时夜晚会痛。
注射透明质酸也不起作用,因此医生建议使用人工关节。
不想手术,又想改变现状,所以咨询再生医疗。
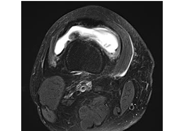
根据MRI影像,诊断为变形性膝关节病 等级4(末期)。


股骨内侧突发性骨坏死,半月板外周滑脱




白色部分膝盖股关节积液
 
治疗1年后的变化
起床的疼痛和爬楼梯都得到了改善。
以前走20分钟就觉得很疼,现在能走2个小时了。
活动实现自由,一直维持着良好的状态。

上一篇:日本案例D—日本女性膝盖内侧的疼痛急剧恶化

下一篇:日本案例G—61岁的女性舞蹈老师膝盖的疼痛

Copyright © 2015-2025 日本干细胞