日本电话:0081-090-6725-6016

中文客服微信: cn11802101

  • English
  • 中文

日本案例D—日本女性膝盖内侧的疼痛急剧恶化

 
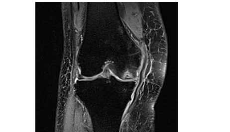
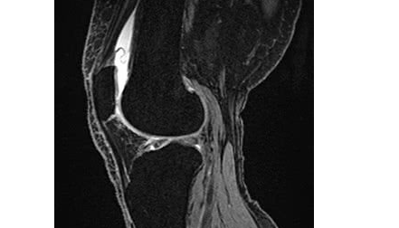
右膝烦恼及诊断结果
来院1年前可以登山,但是最近膝盖内侧的疼痛急剧恶化。
两周打一次透明质酸针,但是没有改善,出门走路也很痛苦。
希望能一个人坐电车出门。
诊断为变形性膝关节病 等级4(末期)。


可见骨坏死及脆弱性骨折、半月板消失、可见多个骨刺



治疗2个月后的変化
患者称走路速度比以前快了。
因为走得比以前多,所以有点疼,但是没有治疗前那么严重。

上一篇:日本案例C—73岁日本女性10年前半月板受损

下一篇:日本案例F—站起来的时候很痛,有时夜晚会痛。

Copyright © 2015-2025 日本干细胞